Tension pneumopericardium
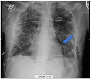
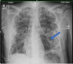
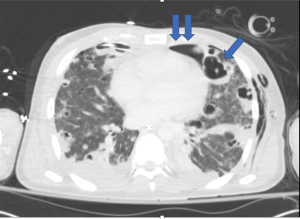
A 32-year-old male with a history of IV drug and tobacco use presented to the Emergency department with blunt chest trauma. He had pre-existing pulmonary septic emboli and developed severe acute respiratory distress syndrome (ARDS) requiring intubation and veno-venous extracorporeal membrane oxygenation (ECMO). While on ECMO he developed bilateral pneumothoraces from ruptured blebs complicated by bilateral bronchopleural fistulae. CT scan was obtained that revealed small volume pneumopericardium as well as bilateral pneumothoraces (Figure 1). Corresponding chest X-ray is seen in Figure 2. Several days after ECMO decannulation the patient developed acute agitation and hemodynamic instability. A chest X-ray was obtained that revealed air in the pericardial sac, cardiac compression, and mediastinal shift consistent with tension pneumopericardium (Figure 3). He was taken emergently to the operating room for pericardial window and drain placement. He was returned to the surgical ICU in critical, but improved, condition. Though rare, tension pneumopericardium should be on the differential diagnosis for shock in patients with blunt chest trauma, emphysematous lung disease, or bronchopleural fistula.
Acknowledgments
Funding: None.
Footnote
Conflicts of Interest: Both authors have completed the ICMJE uniform disclosure form (available at https://amj.amegroups.com/article/view/10.21037/amj-20-65/coif). The authors have no conflicts of interest to declare.
Ethical Statement: The authors are accountable for all aspects of the work in ensuring that questions related to the accuracy or integrity of any part of the work are appropriately investigated and resolved. All procedures performed in this study were in accordance with the ethical standards of the institutional and/or national research committee(s) and with the Helsinki Declaration (as revised in 2013). Written informed consent was obtained from the patient for publication of this “Images in Clinical Medicine”.
Open Access Statement: This is an Open Access article distributed in accordance with the Creative Commons Attribution-NonCommercial-NoDerivs 4.0 International License (CC BY-NC-ND 4.0), which permits the non-commercial replication and distribution of the article with the strict proviso that no changes or edits are made and the original work is properly cited (including links to both the formal publication through the relevant DOI and the license). See: https://creativecommons.org/licenses/by-nc-nd/4.0/.
Cite this article as: Raff L, Maine R. Tension pneumopericardium. AME Med J 2020;5:35.

